BorakVet
Ihr Tierarzt in Furth bei Göttweig
Chirurgisches Zentrum für Hunde und Katzen
- + 43 (0) 660 80 50 586
-
Montag – Freitag 8:00 – 18:30 Uhr
Sa, So, Feiertage nach telefonischer Vereinbarung - Grünbergweg 370, 3511 Furth bei Göttweig
Ordinationszeiten
Nach telefonischer Vereinbarung
Montag – Freitag
8:00 – 18:30 Uhr
Samstag, Sonntag und Feiertage nach telefonischer Vereinbarung
Terminvereinbarung
Termin vereinbaren
Wir bitten um telefonische Vereinbarung oder per E-Mail.
Notfälle — nach telefonischer Vereinbarung
Expertise Effizienz Transparenz
Expertise - Effizienz - Transparenz
Unsere Leistungen
Chirurgie und mehr…
Diagnostik
Nach der Kontaktaufnahme analysieren wir alle zur Verfügung stehenden Vorbefunde, die Sie uns per E-mail, Post, WhatsApp, oder persönlich ...
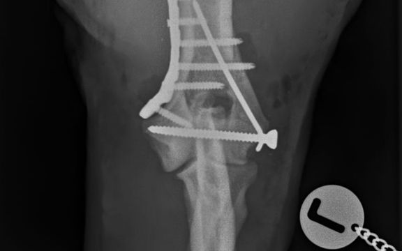
Orthopädische Chirurgie
Operative Versorgung von chronischen Erkrankungen und akuten Verletzungen des Bewegungsapparates, wie z. B. Frakturen (Knochenbrüche) ...
Neurochirurgie
Unser Leistungsspektrum umfasst chirurgische Versorgung akuten und chronischen Bandscheibenvorfällen, Wirbelfrakturen ...
Weichteilchirurgie
Chirurgie der Weichteile umfasst breites Spektrum verschiedensten Operationen. Unter anderem gehören dazu Versorgungen im HNO Chirurgie der Weichteile ...
Innere Medizin
Obwohl unser Fokus bei der Chirurgie liegt, untersuchen wir Gesamtzustand unseren Patienten genauso sorgfältig durch. Neben der kompletten klinischen ...
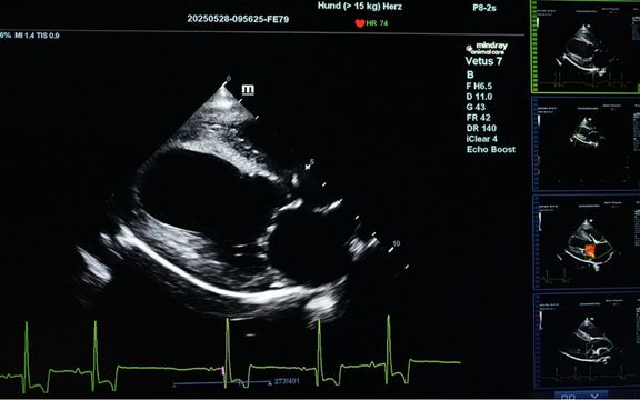
Kardiologie
Mag. med. vet. Tijana Borak betreut unsere Herzpatienten. Sie verfügt über langjähriger Erfahrung auf dem Gebiet der Herz-Sonographie (Ultraschall) ...
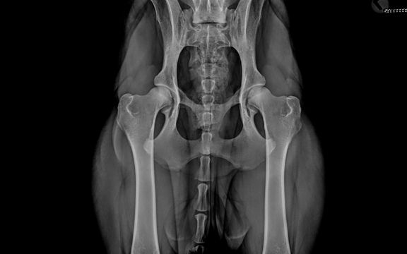
Offizielle HD, ED, OCD-Untersuchung
Im Rahmen der Zuchtuntersuchung für die Rasse Deutschlanghaar werden bei uns offizielle HD-, ED- und OCD- Röntgenaufnahmen angefertigt ...
Operationen
Als Operationsmethode der Wahl für Hunde und Katzen aller Größen hat sich bei uns die sogenannte TPLO (Tibial Plateau Leveling Osteotomy) Operation etabliert...
Neuigkeiten bei BorakVet!
Erfahren Sie mehr über aktuelle Forschungsergebnisse, neue Behandlungsmethoden und hilfreiche Tipps für die Gesundheit Ihres Lieblings. Wir kombinieren Wissen und Leidenschaft – für das Wohl Ihrer Tiere.
Held der Woche
Fremdkörper-Operationen bei Katzen und Hunden
Zahnsanierungen bei Hund und Katze
BorakVet
Expertise
Neuester Wissenstand vereint mit handwerklichen know how. Mag.med.vet. Danilo Borak, Diplomate ECVS® ist europäischer Spezialist für Chirurgie bei Hund und Katze mit Jahrzehnten langer praktischen Erfahrung. Strukturierte ECVS® Ausbildung ermöglicht breites und tiefes chirurgisches Wissen. Dieses Wissen wird ständig durch verschiedene Fortbildungen, Austausch mit Kollegen, sowie praktische Tätigkeit vertieft und mit BorakVet Team geteilt.
Effizienz
Fokus auf Chirurgie, eingespieltes Team und ausgefeilte hauseigene Protokolle gewährleisten Optimierung der diagnostisch- therapeutischen Wegen. Kürzere Narkosen und Operationsdauer führen zu Minimierung des Narkoserisiko, weniger Implantat Infektionen und Wundkomplikationen. Terminvergabe fast ausschließlich nach Vereinbarung ermöglicht keine bis minimale Wartezeiten. Weniger Stress für die Tiere und Tierbesitzer.
Transparenz
Bei BorakVet ist klare Kommunikation selbstverständlich. Tierbesitzer bekommen detaillierte Aufklärung über diagnostisch- therapeutischen Wegen, sowie Nachbehandlung. Rahmen des finanziellen Aufwands/Preis in Abhängigkeit von unterschiedlichen Szenarien wird genau ermittelt und kommuniziert. Wir informieren die Tierbesitzer realistisch über Prognose und Heilungschancen, sowie Lebensqualität, die bei ihrem Hund oder Katze zu erwarten sind.
Unser Team
Ihre Experten für Tierwohl

Mag.med.vet. Danilo Borak, Dipl. ECVS
Spezialist für Kleintierchirurgie

Mag.med.vet Tijana Borak
Spezialist für Kleintierchirurgie
Patientenstimmen
Weil uns Ihr Tier am Herzen liegt
Kontakt aufnehmen
Wir sind gerne für Sie und Ihr Tier da!
Telefon


